용호동투명교정 교정중에 생긴 충치는 어떻게 할까요?

교정 치료는 기간이 길기 때문에
충치를 그대로 방치하면 교정이 끝난 뒤
신경치료까지 이어질 수 있다는 사실을
알고 계신가요?

치아교정을 진행하면 브라켓과 와이어 같은
교정 장치가 부착되어 음식물이 쉽게 끼고
제거가 어려워집니다.
평소보다 구강 위생 관리가 까다로워지기 때문에
충치가 발생하는 경우도 적지 않습니다.
이때 초기에 치료하지 않고 방치하면
우식이 점점 깊어지면서 결국 신경치료가
필요한 상황까지 이어질 수 있습니다.
그래서 교정 중 충치가 발견되면
교정치과에서 일반 치과 진료를 권유받아
치료를 진행하는 경우가 많습니다!
교정 중 충치치료는 어떻게 진행될까요?
교정 치료 중 치아 사이에 생긴 충치는
와이어를 제거한 뒤 치료가 진행됩니다.!
와이어 제거 → 충치치료 → 와이어 장착
와이어가 장착된 상태에서는
치아 사이 충치치료가 어렵기 때문에
반드시 제거 과정이 필요합니다.
당일에 와이어를 빼고 다시 장착해야 하는
경우가 많으므로 이동 시간을 줄이기 위해
가까운 치과를 선택하는 것이 편리합니다.

만약 투명 교정 중인 경우에는 장치를 제거할 수 있어
치료가 비교적 수월하지만
치아 이동 공간이나 교정 계획에 영향을 줄 수 있어
반드시 교정치과와 상의 후 치료를 진행합니다.
브라켓 주변에 생긴 충치는
장치가 부착된 상태에서는 치료가 어려운 경우가 많습니다.
네모난 브라켓 장치 주변 우식은
장치 제거 후 치료가 가능하기 때문에
대부분 교정이 마무리된 이후 진행됩니다.
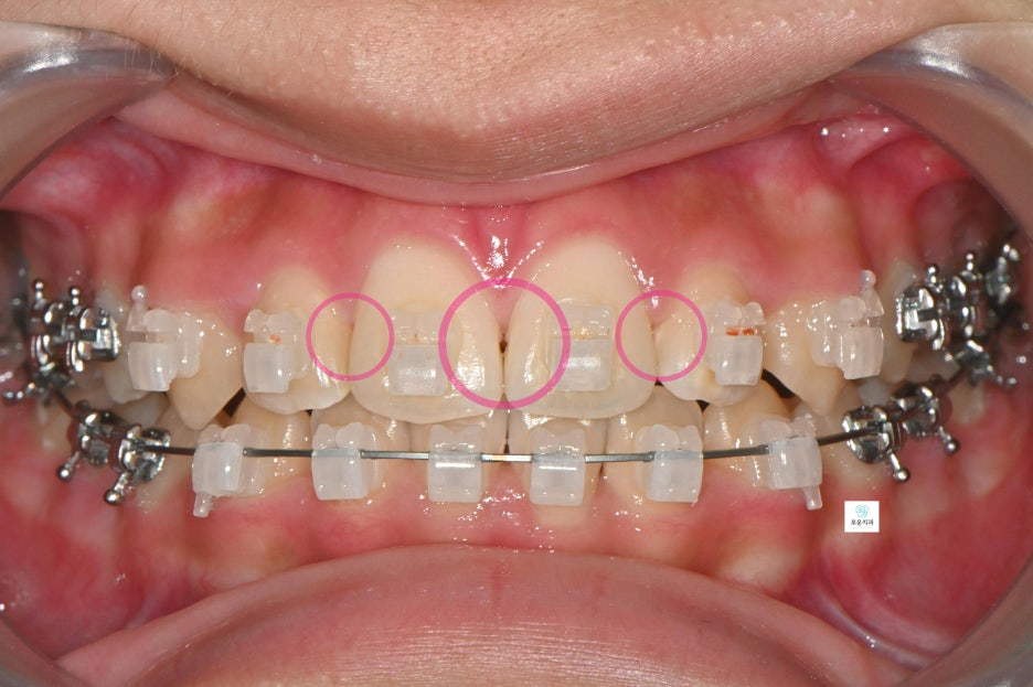
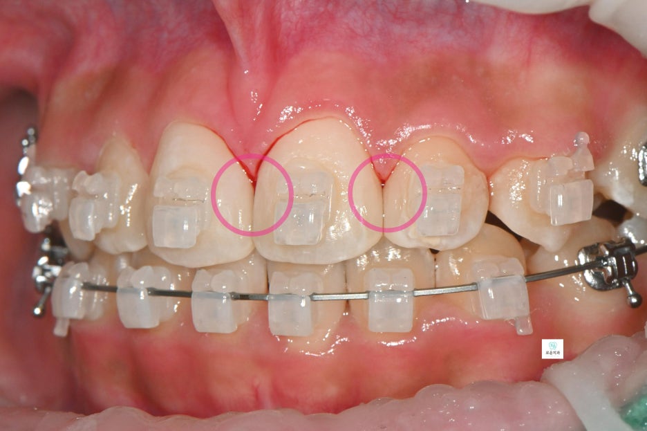
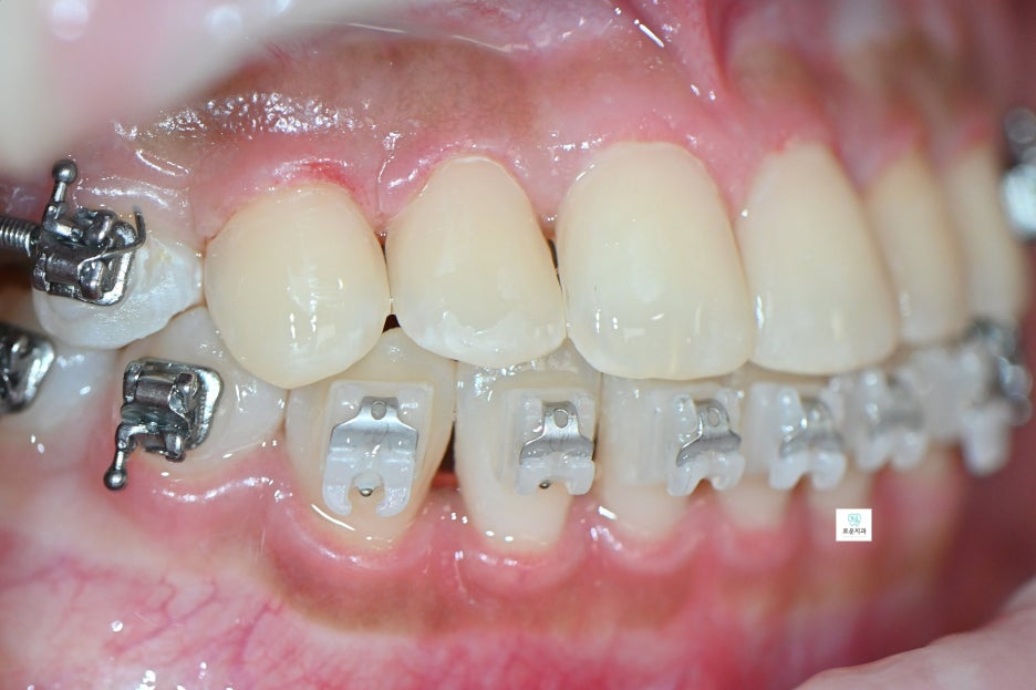
“교정 중 발생한 앞니 사이 충치 치료 사례”




장기간 교정 치료를 진행 중이던 환자분으로
앞니 사이 충치가 발견되어 치료를 위해
내원하셨습니다.
앞니에 생긴 우식은 치아 4개에 사이에 생겨 총 6면의 우식이 발생
→ 치아는 붙어 있는 면 양쪽으로 우식 진행되기 때문에 면수로 진행
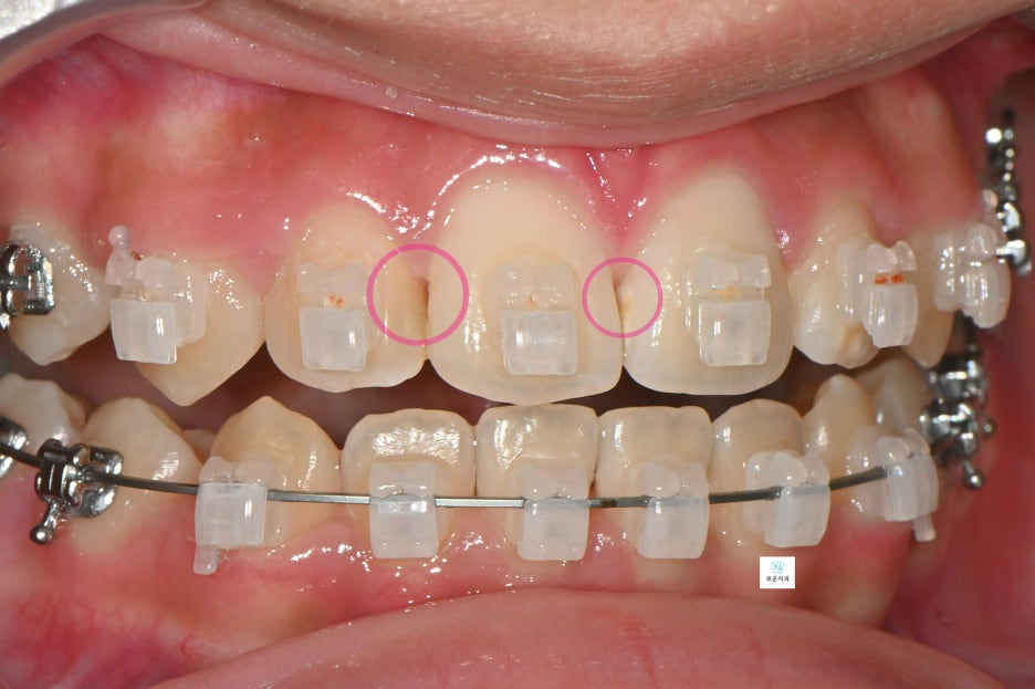
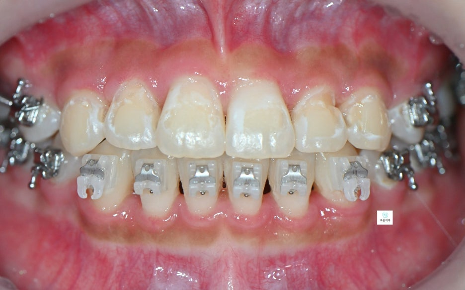
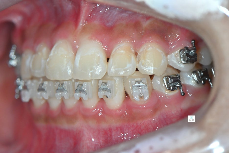
첫 방문에서는 검진을 통해
치료 부위를 확인하였고,
두 번째 방문에서는 교정치과와 일정 조율 후
와이어를 제거한 상태로 내원하여
치료를 진행했습니다.


엑스레이 촬영 결과
인접면 충치가 더욱 명확하게 확인되었으며
깊이에 따라 마취 후 치료를 진행했습니다.



충치 부위를 제거한 뒤
자연스러운 색상의 레진으로
깔끔하게 수복하였습니다.
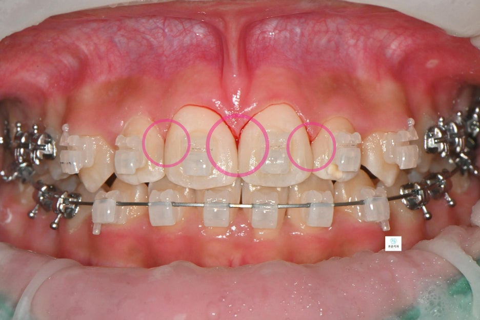
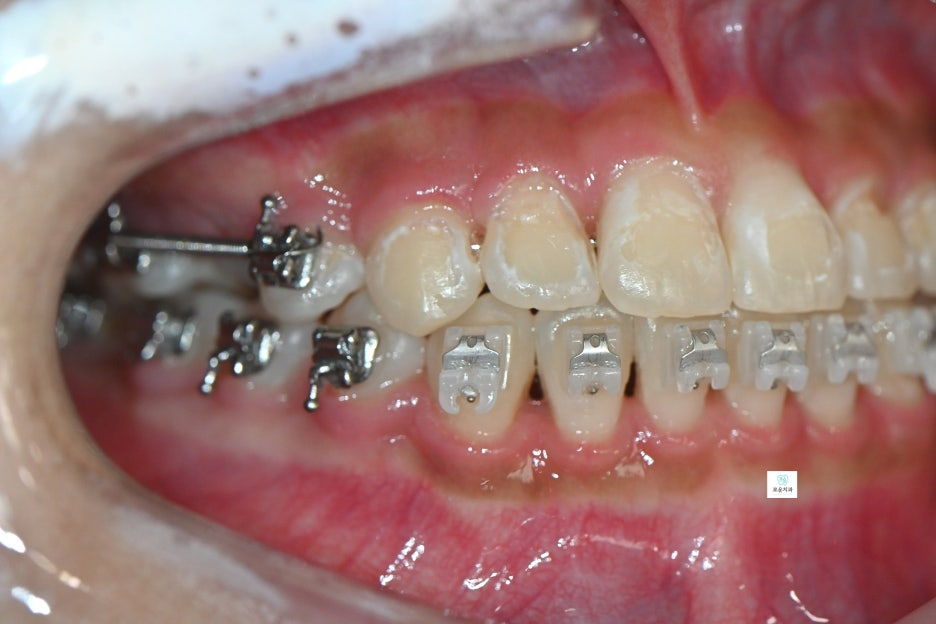
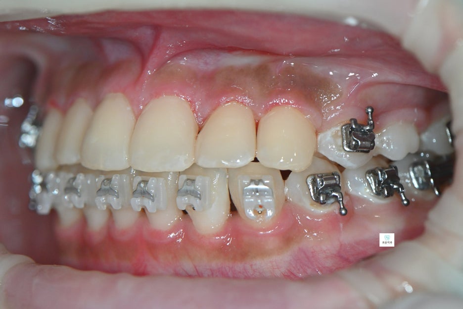
“교정 중 브라켓 주변 충치 치료 사례”


브라켓 주변에 여러 개의 충치가 발생하여
장치를 제거한 후 치료를 진행한 사례입니다.
한 치아 기준 약 3면 정도의 우식이 확인되어
충치 제거 후 수복 치료를 진행했습니다.
앞니 치료를 먼저 시행한 후
소구치와 대구치 부위 충치까지
순차적으로 치료를 완료했습니다.


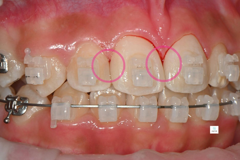
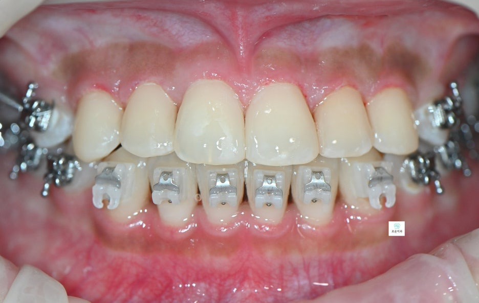
자연스럽고 깔끔하게 마무리된
앞니 치료 결과를 확인할 수 있습니다.
오늘은 교정 중 발생한 충치 치료 사례
두 가지를 소개해 드렸습니다.
교정을 진행하는 동안 관리가 소홀해지면
충치가 쉽게 생기고 재발 가능성도 높아집니다.
따라서 교정 중이라 하더라도
정기적인 검진은 반드시 필요합니다.
교정 중 생긴 충치도 충분히 치료가 가능하므로
초기에 발견해 적절히 치료하는 것이
치아 건강과 교정 결과를 모두 지키는 방법입니다.
예쁜 미소를 완성하기 위해서는
교정만큼이나 충치 관리도 중요합니다.!!


